PEIR Digital Library

Welcome to the Pathology Education Informational Resource (PEIR) Digital Library, a multidisciplinary public access image database for use in medical education.

Home /

00016586

00016586.jpg 00016585Thumbnails0001658000016585Thumbnails0001658000016585Thumbnails0001658000016585Thumbnails0001658000016585Thumbnails0001658000016585Thumbnails00016580

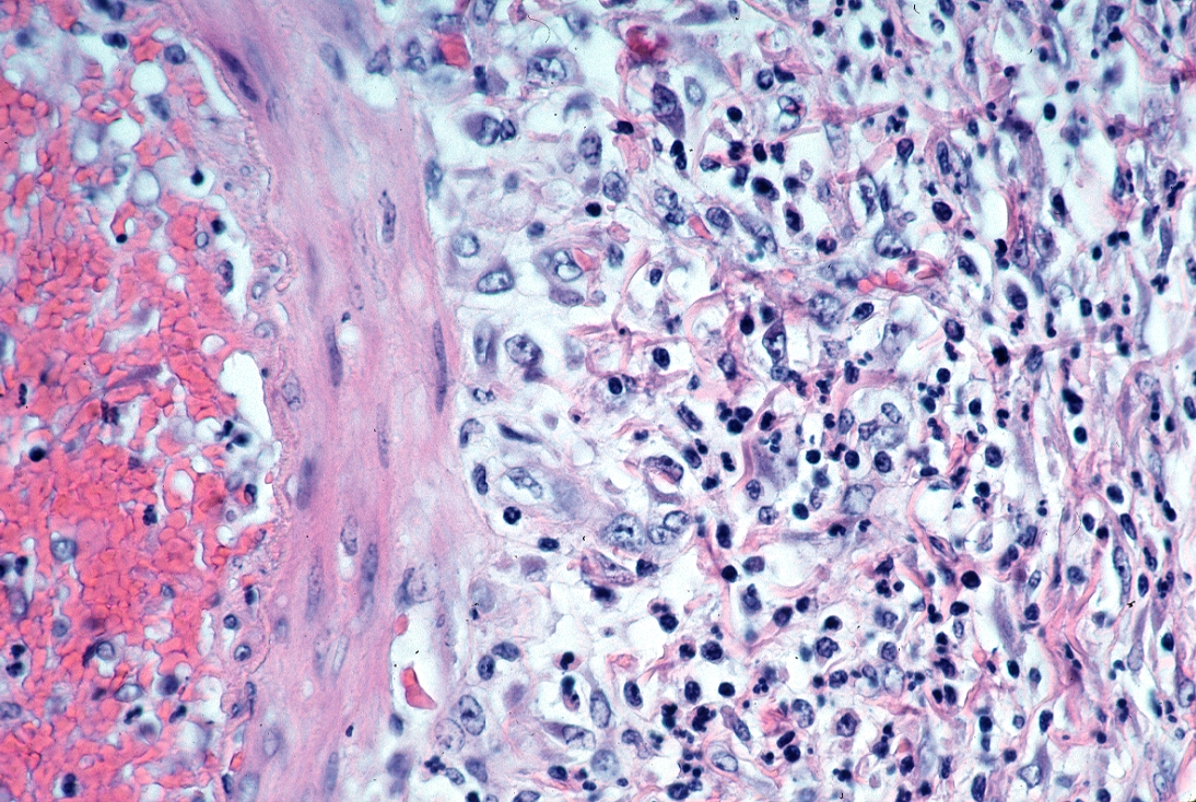
HISTOLOGY: CARDIOVASCULAR: VASCULATURE: Vasculitis, Polyarteritis nodosa

Author
Peter Anderson
Visits
3837

0 comments