PEIR Digital Library

Welcome to the Pathology Education Informational Resource (PEIR) Digital Library, a multidisciplinary public access image database for use in medical education.

Home / Keyword joints /

00015663

00015663.jpg 00015666Thumbnails0001566400015666Thumbnails0001566400015666Thumbnails0001566400015666Thumbnails0001566400015666Thumbnails0001566400015666Thumbnails0001566400015666Thumbnails00015664

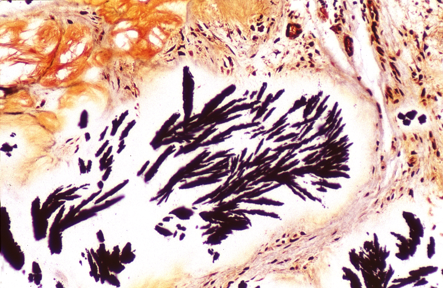
HISTOLOGY: MUSCULOSKELETAL: BONES: JOINTS: Gout, alcohol fixed tissues, monosodium urate crystals

Author
Peter Anderson
Visits
9623

0 comments