PEIR Digital Library

Welcome to the Pathology Education Informational Resource (PEIR) Digital Library, a multidisciplinary public access image database for use in medical education.

Home /

00008523

00008523.jpg 00008522Thumbnails0000852400008522Thumbnails0000852400008522Thumbnails0000852400008522Thumbnails0000852400008522Thumbnails0000852400008522Thumbnails00008524

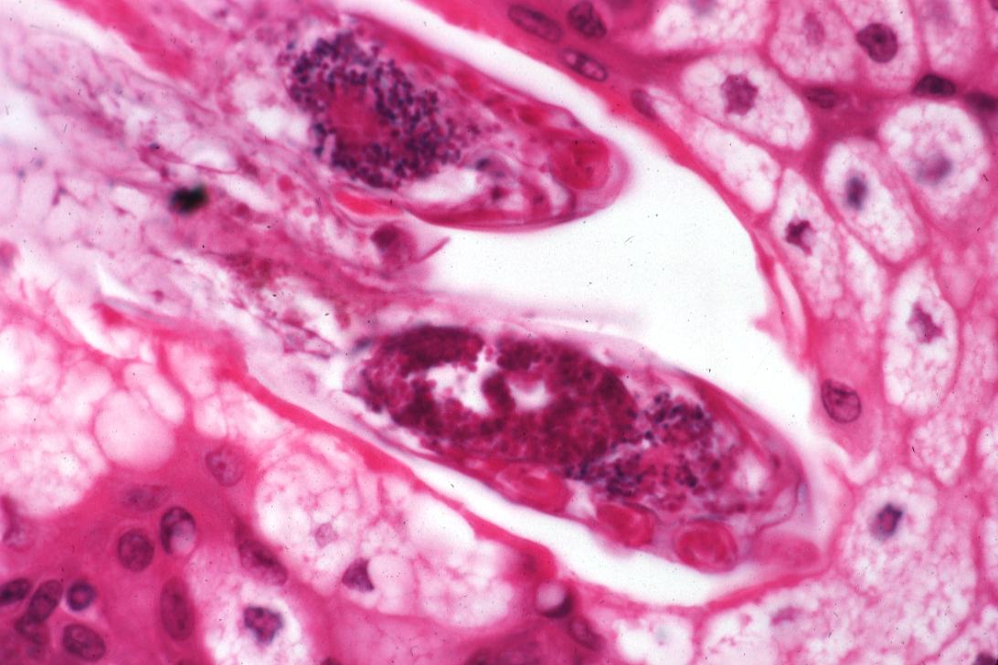
HISTOLOGY: SKIN: Demodex Folliculorum

Author
Peter Anderson
Keywords
histology, skin
Visits
3369

0 comments