PEIR Digital Library

Welcome to the Pathology Education Informational Resource (PEIR) Digital Library, a multidisciplinary public access image database for use in medical education.

Home /

00017404

00017404.jpg 00017410Thumbnails0001740500017410Thumbnails0001740500017410Thumbnails0001740500017410Thumbnails0001740500017410Thumbnails0001740500017410Thumbnails0001740500017410Thumbnails00017405

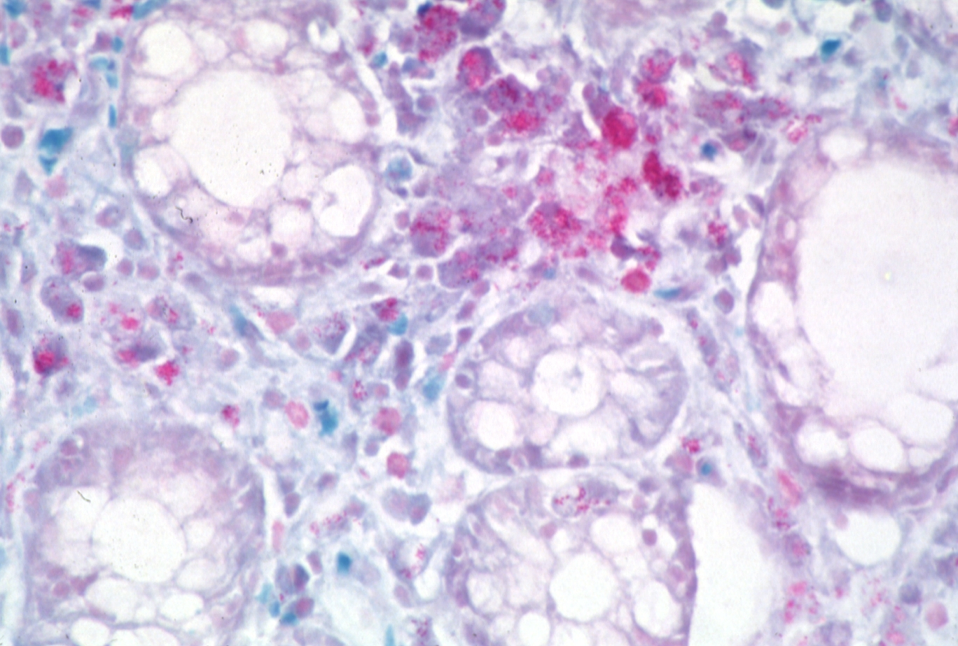
HISTOLOGY: GASTROINTESTINAL: Colon biopsy, Mycobacterium avium-intracellulae (MAI), Acid fast stain

Author
Peter Anderson
Visits
4150

0 comments