PEIR Digital Library

Welcome to the Pathology Education Informational Resource (PEIR) Digital Library, a multidisciplinary public access image database for use in medical education.

Home / Keyword endocrine /

00001019

00001019.jpg 00001018Thumbnails0000101400001018Thumbnails0000101400001018Thumbnails0000101400001018Thumbnails0000101400001018Thumbnails0000101400001018Thumbnails00001014

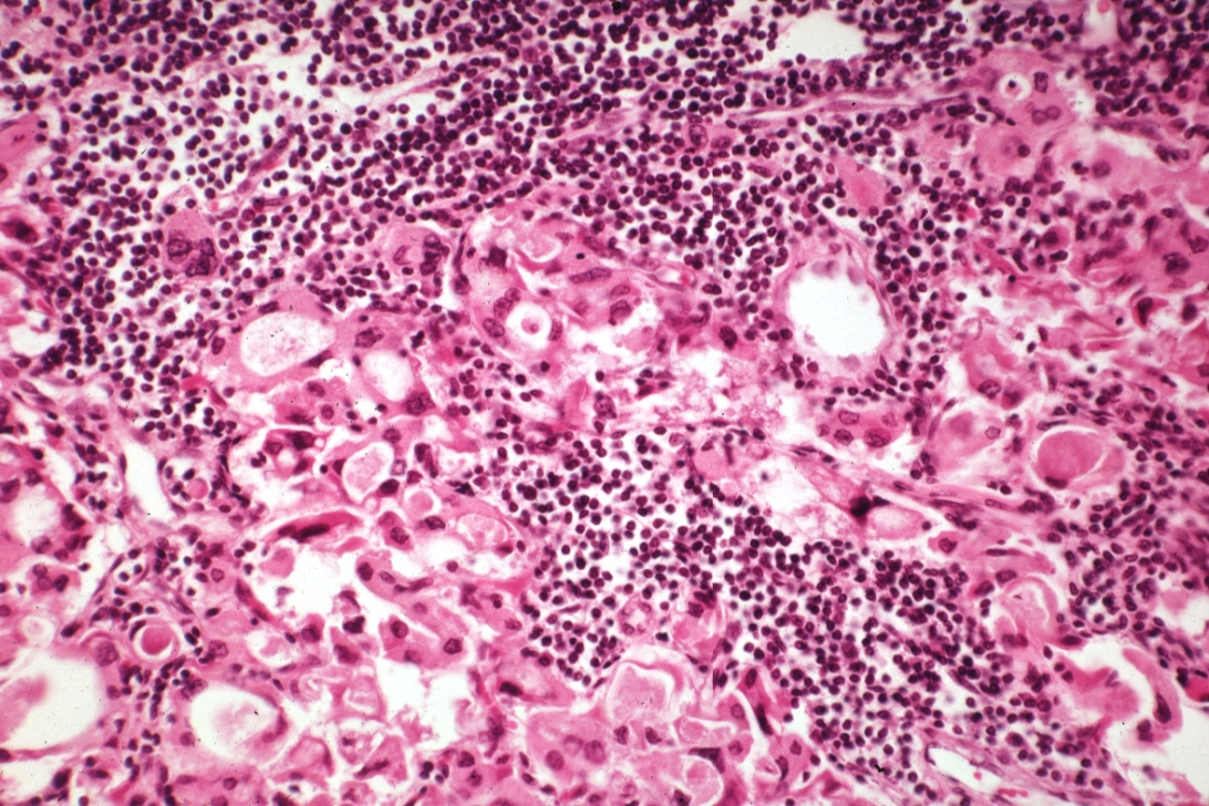
HISTOLOGY: ENDOCRINE: Thyroid: Lymphocytic Thyroiditis: High mag H&E excellent example of cell injury

Author
Peter Anderson
Visits
8078

0 comments