PEIR Digital Library

Welcome to the Pathology Education Informational Resource (PEIR) Digital Library, a multidisciplinary public access image database for use in medical education.

Home /

00017117

00017117.jpg 00017122Thumbnails0001711800017122Thumbnails0001711800017122Thumbnails0001711800017122Thumbnails0001711800017122Thumbnails0001711800017122Thumbnails0001711800017122Thumbnails00017118

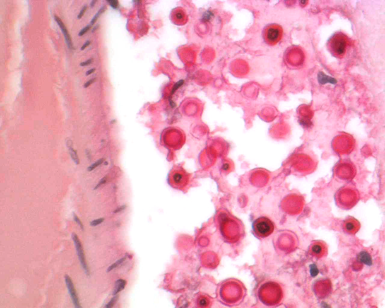
HISTOLOGY: NERVOUS: Brain, cryptococcal meningitis, mucicarmine stain

Author
Peter Anderson
Keywords
histology, nervous
Visits
3977

0 comments