PEIR Digital Library

Welcome to the Pathology Education Informational Resource (PEIR) Digital Library, a multidisciplinary public access image database for use in medical education.

Home /

00016013

00016013.jpg 00016012Thumbnails0001601400016012Thumbnails0001601400016012Thumbnails0001601400016012Thumbnails0001601400016012Thumbnails0001601400016012Thumbnails0001601400016012Thumbnails00016014

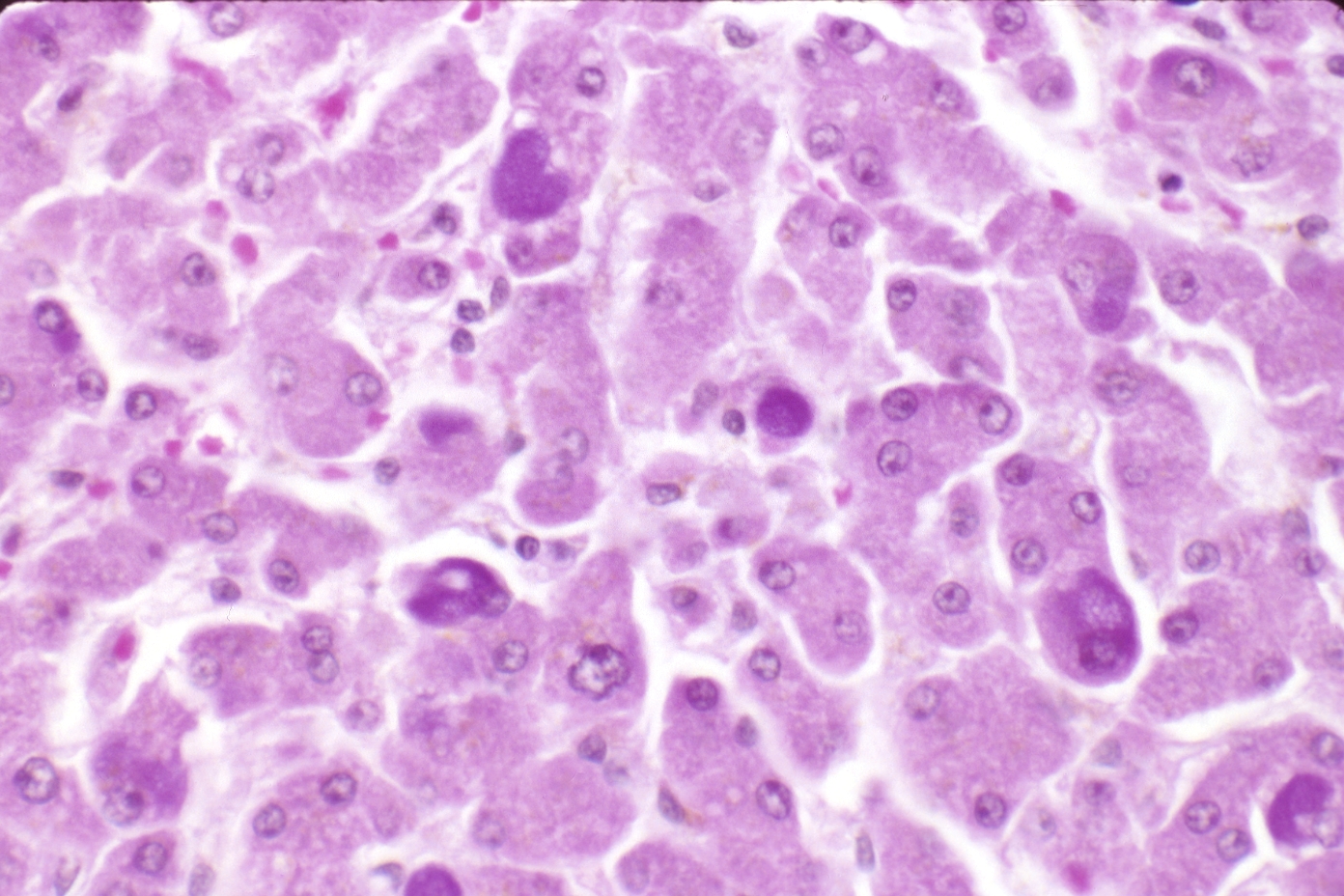
HISTOLOGY: HEPATOBILIARY: LIVER: BILIARY: Liver, hepatitis B carrier, aldehyde fuchsin stain showing intracytoplasmic accumulations of HBV surface antigen

Author
Peter Anderson
Visits
8300

0 comments