PEIR Digital Library

Welcome to the Pathology Education Informational Resource (PEIR) Digital Library, a multidisciplinary public access image database for use in medical education.

Home /

00009546

00009546.jpg 00009545Thumbnails0000954100009545Thumbnails0000954100009545Thumbnails0000954100009545Thumbnails0000954100009545Thumbnails0000954100009545Thumbnails00009541

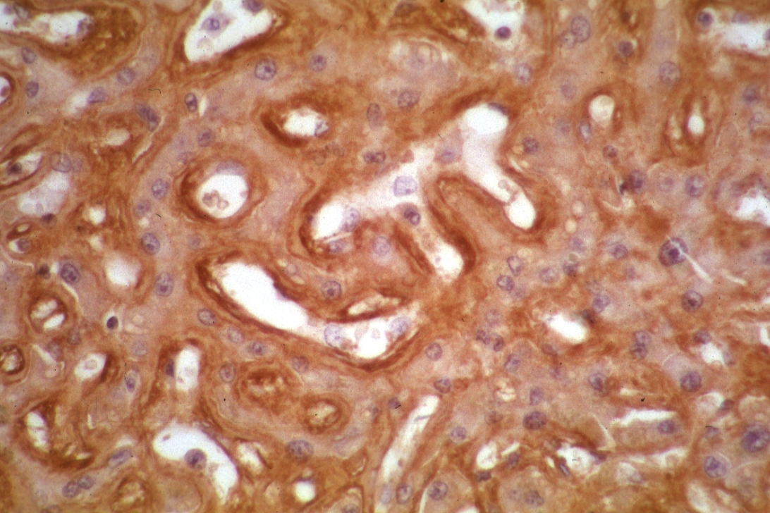
HISTOLOGY: Urinary: Kidney: Amyloidosis Kappa Chain Stain: Micro med mag kappa chain stain showing positive reaction in peritubular deposits

Author
Peter Anderson
Visits
4368

0 comments