25916/33648
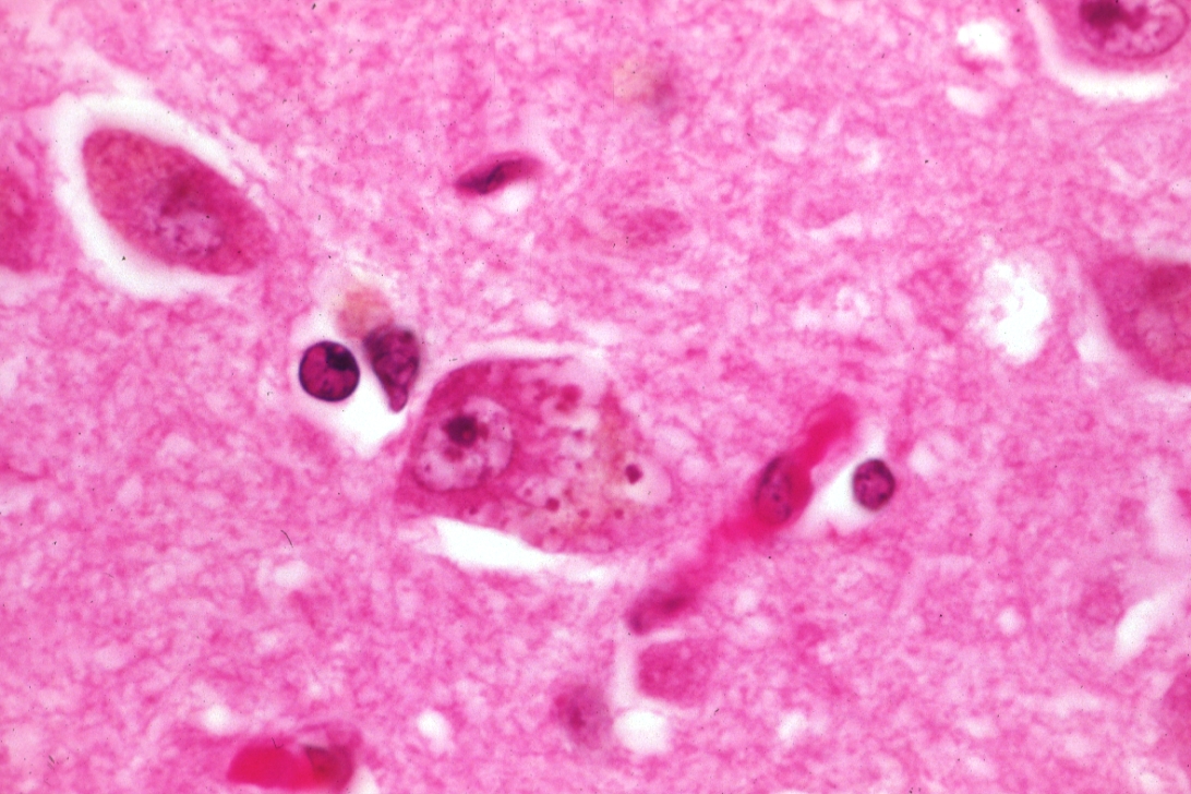
HISTOLOGY: NERVOUS: Brain: Hirano Bodies: Micro high mag H&E good example hippocampal neurones
- Author
- Peter Anderson
- Posted on
- Thursday 1 August 2013
- Keywords
- brain, hirano bodies, histology, nervous
- Albums
- Visits
- 4517
Welcome to the Pathology Education Informational Resource (PEIR) Digital Library, a multidisciplinary public access image database for use in medical education.
HISTOLOGY: NERVOUS: Brain: Hirano Bodies: Micro high mag H&E good example hippocampal neurones
0 comments