PEIR Digital Library

Welcome to the Pathology Education Informational Resource (PEIR) Digital Library, a multidisciplinary public access image database for use in medical education.

00006843.jpg 00006842Thumbnails0000684400006842Thumbnails0000684400006842Thumbnails0000684400006842Thumbnails0000684400006842Thumbnails0000684400006842Thumbnails00006844

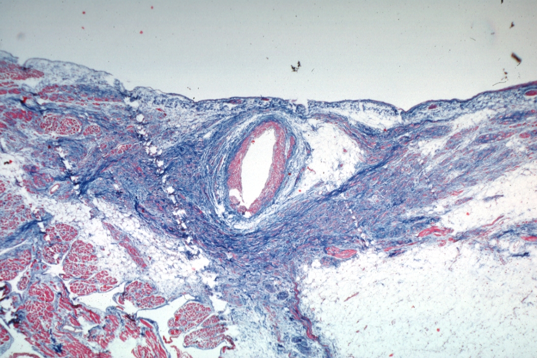
HISTOLOGY: CARDIOVASCULAR: HEART: Sinus Node Fibrosis: Micro low mag trichrome this shows more conducting tissue than and quite good photo with normal sinus node artery

Author
Peter Anderson
Visits
6609

0 comments