PEIR Digital Library

Welcome to the Pathology Education Informational Resource (PEIR) Digital Library, a multidisciplinary public access image database for use in medical education.

00000176.jpg 00000190Thumbnails00000190Thumbnails00000190Thumbnails00000190Thumbnails

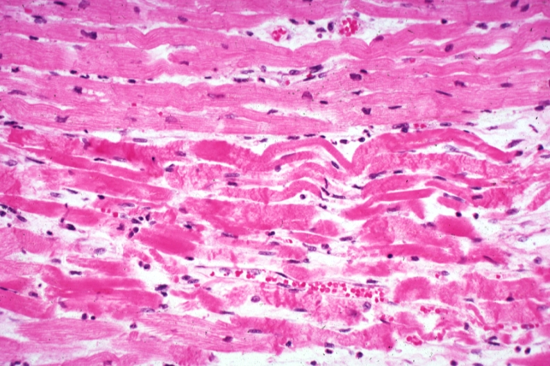
HISTOLOGY: CARDIOVASCULAR: HEART: Miliary Infarction: Micro H&E high mag contraction band necrosis miliary infarction lesion good example

0 comments