PEIR Digital Library

Welcome to the Pathology Education Informational Resource (PEIR) Digital Library, a multidisciplinary public access image database for use in medical education.

Home /

00241536

00241536.jpg 00241539Thumbnails0024153700241539Thumbnails0024153700241539Thumbnails0024153700241539Thumbnails0024153700241539Thumbnails00241537

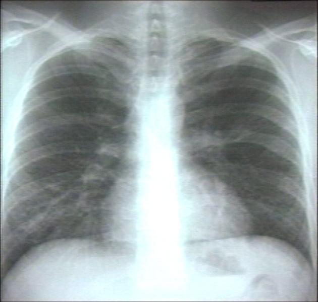
RADIOLOGY: LUNG: SARCOIDOSIS; SUBTLE INCREASE IN DENSITY IN RIGHT PARATRACHEAL AREA,HONEYCombed (PLAIN FILM)

Author
Peter Anderson
Keywords
lung, radiology
Visits
2663

0 comments