PEIR Digital Library

Welcome to the Pathology Education Informational Resource (PEIR) Digital Library, a multidisciplinary public access image database for use in medical education.

Home /

00220511

00220511.jpg 00220509Thumbnails0022051500220509Thumbnails0022051500220509Thumbnails0022051500220509Thumbnails0022051500220509Thumbnails00220515

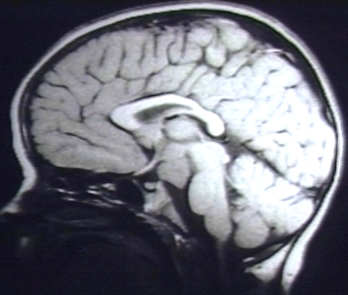
RADIOLOGY: NERVOUS: BRAIN: HAMARTOMA, HYPOTHALAMUS; T1 WO (MRI)

Author
Peter Anderson
Keywords
brain, nervous, radiology
Visits
1913

0 comments