PEIR Digital Library

Welcome to the Pathology Education Informational Resource (PEIR) Digital Library, a multidisciplinary public access image database for use in medical education.

Home /

00219094

00219094.jpg 00219103Thumbnails0021909700219103Thumbnails0021909700219103Thumbnails0021909700219103Thumbnails0021909700219103Thumbnails00219097

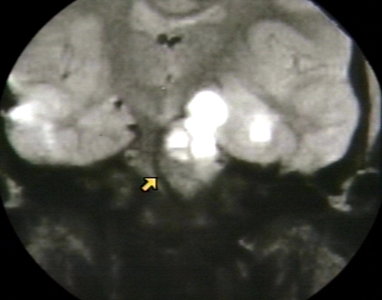
RADIOLOGY: NERVOUS: BRAIN: CRANIOPHARYNGIOMA, -NOTE BASILAR ARTERY DISPLACEMENT - WITH ARROWS (MRI)

Author
Peter Anderson
Keywords
brain, nervous, radiology
Visits
2025

0 comments