PEIR Digital Library

Welcome to the Pathology Education Informational Resource (PEIR) Digital Library, a multidisciplinary public access image database for use in medical education.

Home /

00216276

00216276.jpg 00216281Thumbnails0021627700216281Thumbnails0021627700216281Thumbnails0021627700216281Thumbnails0021627700216281Thumbnails00216277

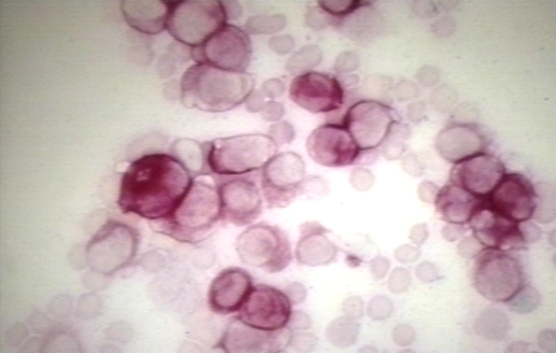
HISTOLOGY: HEMATOLOGIC: BONE MARROW: LEUKEMIA, ACUTE MYELOGENOUS M7, AML; NONSPECIFIC ESTERASE ACETATE STAIN POSITIVE

Author
Peter Anderson
Visits
3693

0 comments