PEIR Digital Library

Welcome to the Pathology Education Informational Resource (PEIR) Digital Library, a multidisciplinary public access image database for use in medical education.

Home /

00137564

00137564.jpg 00137563Thumbnails0013755900137563Thumbnails00137559

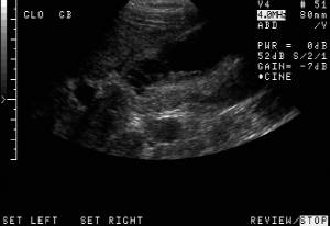
RADIOLOGY: GASTROINTESTINAL: GI: Case# 34606: ADENOMYOMATOSIS. 28 year old woman with intermittent right upper quadrant pain for approximately one year.

Author
Peter Anderson
Visits
3159

0 comments