16607/33648
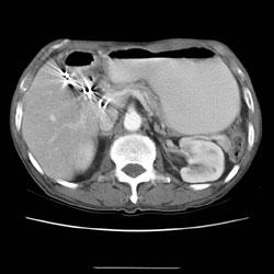
RADIOLOGY: AORTA: Case# 34023: ABDOMINAL AORTIC ANEURYSM. 83 year old male with weight loss. Very unusual configuration of abdominal aortic aneurysm.
- Author
- Peter Anderson
- Posted on
- Thursday 1 August 2013
- Albums
- Visits
- 3352
Welcome to the Pathology Education Informational Resource (PEIR) Digital Library, a multidisciplinary public access image database for use in medical education.
RADIOLOGY: AORTA: Case# 34023: ABDOMINAL AORTIC ANEURYSM. 83 year old male with weight loss. Very unusual configuration of abdominal aortic aneurysm.
0 comments