PEIR Digital Library

Welcome to the Pathology Education Informational Resource (PEIR) Digital Library, a multidisciplinary public access image database for use in medical education.

Home /

00137356

00137356.jpg 00137355Thumbnails0013735700137355Thumbnails00137357

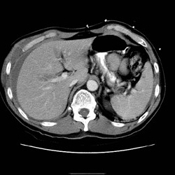
RADIOLOGY: PANCREAS: Case# 47: PANCREATIC TRANSECTION. 32 year old female s/p MVA one day prior now with elevated amylase and lipase. There is a large amount of ascites. There is disruption of the pancreatic head just anterior to the portal vein confluence. Pancreatic transection is uncommon and associated with a high mortality since it is often clinically occult. In complete transection, CT images may show two ends separated by low-density fluid that remains relatively confined to the anterior pararenal space in the immediate post-injury period. Pancreatic enlargement, fluid collections, and lucent defects may also be present. In incomplete transections, tissue displacement may be minimal, and lacerations may be difficult to identify, however, but may be suggested by unexplained thickening of the anterior renal fascia.

Author
Peter Anderson
Keywords
pancreas, radiology
Visits
4172

0 comments