PEIR Digital Library

Welcome to the Pathology Education Informational Resource (PEIR) Digital Library, a multidisciplinary public access image database for use in medical education.

Home /

00137193

00137193.jpg 00137200Thumbnails0013719400137200Thumbnails00137194

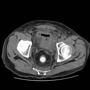
RADIOLOGY: GENITOURINARY: GU: Case# 32976: HYDRONEPHROSIS. URETEROVESICAL JUNCTION STONE. 58 year-old male with elevated creatinine.

Author
Peter Anderson
Visits
2815

0 comments