PEIR Digital Library

Welcome to the Pathology Education Informational Resource (PEIR) Digital Library, a multidisciplinary public access image database for use in medical education.

Home /

00137045

00137045.jpg 00137044Thumbnails0013704600137044Thumbnails00137046

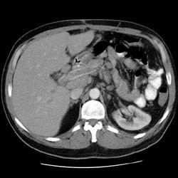
RADIOLOGY: GASTROINTESTINAL: GI: Case# 34233: 39 year old male with CLL. The patient is status post splenectomy in 8/98. The patient now presents with abdominal pain and fever.

Author
Peter Anderson
Visits
2064

0 comments