PEIR Digital Library

Welcome to the Pathology Education Informational Resource (PEIR) Digital Library, a multidisciplinary public access image database for use in medical education.

Home /

00135832

00135832.jpg 00135840Thumbnails0013583300135840Thumbnails00135833

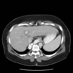
RADIOLOGY: ABDOMEN: Case# 34017: VERY LARGE VARACES. 57 year old female with hepatitis-C. 1. Cirrhotic liver configuration without evidence of focal leisons. 2. Splenomegaly. 3. Enormous esophageal varices.

Author
Peter Anderson
Visits
4684

0 comments