PEIR Digital Library

Welcome to the Pathology Education Informational Resource (PEIR) Digital Library, a multidisciplinary public access image database for use in medical education.

Home /

00135358

00135358.jpg 00135357Thumbnails0013535900135357Thumbnails00135359

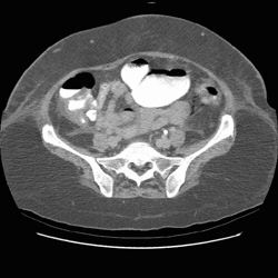
RADIOLOGY: GASTROINTESTINAL: GI: Case# 33130: ISCHEMIC COLON. The patient is a fifty-four year old female status post orthotopic liver transplant with episodes of hypertension, temperature spikes and seizures. 1) Portal venous gas with gas in the mesenteric veins and pneumatosis of the colon as described above. Most likely etiology would be ischemic episode involving the distribution of the IMA. 2) Splenomegaly, varices and moderate amount of free intraperitoneal fluid. 3) Small anterior right pneumothorax and bilateral pleural effusions.

Author
Peter Anderson
Visits
1661

0 comments