PEIR Digital Library

Welcome to the Pathology Education Informational Resource (PEIR) Digital Library, a multidisciplinary public access image database for use in medical education.

Home /

00135144

00135144.jpg 00135143Thumbnails0013514500135143Thumbnails00135145

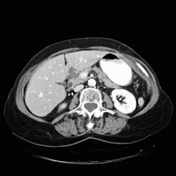
RADIOLOGY: PANCREAS: Case# 33079: AML & PANCREATIC MASS. This is an 83-year-old female complaining of one month of abdominal pain and hard stools. 1. Mass in the head of the pancreas, containing multiple cystic structures. This is most probably benign as it does not appear to invade adjacent structures and does not compress or obstruct the duct. This is probably a microcystic adenoma, without malignant potential. 2. Multiple splenic lesions. These are very small, and are indeterminate. They possibly represent hemangiomas, abscesses or cysts, but are unable to be determined by this exam. 3. Angiomyolipoma of the right kidney.4. Bartholins gland cyst.

Author
Peter Anderson
Keywords
pancreas, radiology
Visits
2214

0 comments