PEIR Digital Library

Welcome to the Pathology Education Informational Resource (PEIR) Digital Library, a multidisciplinary public access image database for use in medical education.

Home /

00134263

00134263.jpg 00134262Thumbnails0013425700134262Thumbnails00134257

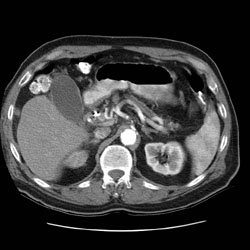
RADIOLOGY: PANCREAS: Case# 33693: ADENOCARCINOMA OF THE PANCREATIC HEAD. DIVERTICULOSIS. The patient is a 75 year old male with common bile duct stenosis and painless jaundice. Examination is requested to evaluate for a pancreatic mass. Prominence of the pancreatic head with atrophy of and pancreatic duct dilatation within the body and tail. These findings are consistent with adenocarcinoma of the pancreatic head. In addition the SMV appears encased in the region of the pancreatic head. 2. 1.2 x 1 cm lymph node seen just superior to the pancreatic neck which may represent metastatic disease. No other evidence for lymphadenopathy is identified. 3. Status post internal/external biliary drainage catheter. 4. Diverticulosis.

Author
Peter Anderson
Keywords
pancreas, radiology
Visits
2364

0 comments