PEIR Digital Library

Welcome to the Pathology Education Informational Resource (PEIR) Digital Library, a multidisciplinary public access image database for use in medical education.

Home /

00133907

00133907.jpg 00133906Thumbnails0013390800133906Thumbnails00133908

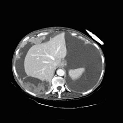
RADIOLOGY: ABDOMEN: Case# 33027: CARCINOMATOSIS. 80 year old female with history of umbilical herniorraphy and abdominal distention. 1) Large amount of ascites with multiple peritoneal based masses as described above. The appearance is consistent with peritoneal carcinomatosis from an as yet undetermined source. The differential diagnosis would include ovarian carcinoma, adenocarcinoma of the gastrointestinal tract, carcinoma of the breast, and renal cell carcinoma. There is apparent metastasis to the umbilical hernia site as well as to a 2 cm right inguinal node. 2) Small bilateral pleural effusions, right greater than left. 3) Simple left renal cyst.

Author
Peter Anderson
Keywords
abdomen, radiology
Visits
2598

0 comments