PEIR Digital Library

Welcome to the Pathology Education Informational Resource (PEIR) Digital Library, a multidisciplinary public access image database for use in medical education.

Home /

00133904

00133904.jpg 00133903Thumbnails0013389700133903Thumbnails00133897

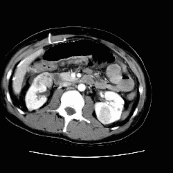
RADIOLOGY: KIDNEY: Case# 33026: TS, MULTIPLE RENAL TUMORS, ?AML. 26 year old male. 1) Large right pleural effusion and adjacent atelectasis. 2) Ascites with peritoneal enhancement may represent peritonitis. VP shunt catheter tubing coiled in the right upper quadrant. 3) Multiple enhancing heterogeneous renal lesions bilaterally. This is a appearance possible for angiomyolipomas although not diagnostic. Lower right renal lesion appears to be an angiomyolipoma. Renal cell carcinoma is also a possibility.

Author
Peter Anderson
Keywords
kidney, radiology
Visits
2136

0 comments