PEIR Digital Library

Welcome to the Pathology Education Informational Resource (PEIR) Digital Library, a multidisciplinary public access image database for use in medical education.

Home /

00133761

00133761.jpg 00133760Thumbnails0013375200133760Thumbnails00133752

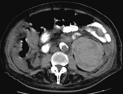
RADIOLOGY: KIDNEY: Case# 32991: RENAL MASS C PERINEPHRIC HEMATOMA. This is a 91 year old female with a history of congestive heart failure with a pace maker. She also has a history of constipation, nausea and vomiting. She has heme positive stools plus increased WBC count. This CT is performed to rule out bowel obstruction. A large heterogeneous mass is seen in the left kidney with a very large collection of high attenuation fluid(hematoma) in the subcapsular space. This is consistent with renal cell carcinoma which has bled, creating hematoma in the left subcapsular space. This kidney and entire subcapsular space are now 4 to 5 times the size of the right kidney. No signs of bowel obstruction are seen. Pace maker wires are seen along with cardiomegaly. There are bilateral pleural effusions with atelectasis. Degenerative changes are noted to the vertebra, along with atherosclerotic calcific changes to the aorta, iliacs and femoral arteries. Perihepatic and perisplenic fluid is seen. The liver is normal in shape . No intrahepatic lesions are seen. The hepatic veins are prominent consistent with high central venous pressure. The adrenal glands and the right kidney are normal. The pancreas is not well seen. Free fluid is also seen in the right pericolic gutter.

Author
Peter Anderson
Keywords
kidney, radiology
Visits
3771

0 comments