PEIR Digital Library

Welcome to the Pathology Education Informational Resource (PEIR) Digital Library, a multidisciplinary public access image database for use in medical education.

Home /

00133629

00133629.jpg 00133628Thumbnails0013363000133628Thumbnails00133630

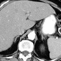
RADIOLOGY: ABDOMEN: Case# 32908: MULTIFOCAL EXTRA-ADRENAL MYELOLIPOMA. This is a 73 year old female with a history of abnormal pap smear. She had prior history of hysterectomy and bilateral salpingo-oophorectomy as well as mastectomy for breast cancer. A large ill-defined soft tissue mass measuring approximately 4.5x5.8cm (image 41) is seen in the pre-sacral region. This mass has both soft tissue as well as fat density in it. The liver is enlarged at 19cm without any focal lesions evident in it. The spleen is normal in size and configuration without any focal lesions evident. Two large simple renal cysts are noted involving the left upper pole and mid region. The larger cyst in the mid region measures 4x4cm in its anterior posterior and transverse dimension. There is minimal dilatation of the common duct at approximately 11mm which is slightly above the limits for post-cholecystectomy patient. The uterus is absent surgically. No adnexal masses are identified in the pelvis. No intra-abdominal or pelvic lymph nodes are identified. Multiple posterior mediastinal paraspinal nodular masses are seen, the largest node measuring 1.5x2.0cm in its transverse and anterior posterior dimension. A rare nonfunctional tumor consisting of bone marrow and fatty tissue, extra-adrenal myelolipoma is usually unilateral and asymptomatic. The incidence on autopsy is 0.2% to 0.4%. On CT, this tumor appears as a well-defined mass of up to 30 cm in diameter with inhomogeneous central fat density. The fat content within any given tumor is variable such that a lesion may appear as a predominantly fatty mass with a surrounding thin rim of soft tissue to a lesion of predominantly soft tissue density with small regions of fat. These tumors are avascular and do not demonstrate contrast enhancement. High density areas may be present secondary to prior hemorrhage. Calcifications may be present, and the tumor may appear to extend into the perinephric tissue. CT is usually diagnostic, but biopsy or percutaneous needle aspiration may be necessary.

Author
Peter Anderson
Visits
4865

0 comments