PEIR Digital Library

Welcome to the Pathology Education Informational Resource (PEIR) Digital Library, a multidisciplinary public access image database for use in medical education.

Home /

00133611

00133611.jpg 00133610Thumbnails0013361200133610Thumbnails00133612

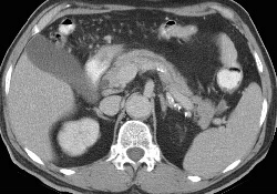
RADIOLOGY: GASTROINTESTINAL: GI: Case# 33673: DUODENAL WALL PSEUDOCYST WITH ASSOCIATED PANCREATITIS. 75 year old male with original suspicion of a pancreatic head mass. Current Exam: Comparison made with prior exam. There has been interval development of a 4x3.5cm pseudocyst located between the descending duodenum and the head of the pancreas, which probably involves the wall of the duodenum. Other smaller fluid collections are again identified in the region of the head of the pancreas. The small 1.3cm collection is unchanged. There has been interval improvement but persistent inflammatory changes in the region of the pseudocyst as well as the pancreatic head, descending duodenum, and right colon. Pancreatic pseudocysts are usually the sequelae of pancreatitis, most often associated with the subacute or chronic varieties. Peripancreatic fluid collections in the setting of acute pancreatitis are not pseduocysts. A pseudocyst is a cystic structure with a thick, fibrous wall and is not lined with epithelium (hence, it is not a true cyst). A pseudocyst may have a persistent connection to the pancreatic duct which may be demonstrated by ERCP. Typically, an uncomplicated pseudocyst will have a homogeneous water density. Increased density or inhomogeneity indicate some complicating factor such as hemorrhage or infection. Psuedocysts may also form in the walls of bowel (stomach, duodenum, colon) due to extension of pancreatic enzymes into the surrounding tissues.

Author
Peter Anderson
Visits
2214

0 comments