PEIR Digital Library

Welcome to the Pathology Education Informational Resource (PEIR) Digital Library, a multidisciplinary public access image database for use in medical education.

Home /

00133214

00133214.jpg 00133213Thumbnails0013321500133213Thumbnails00133215

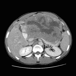
RADIOLOGY: ABDOMEN: Case# 32790: LARGE MASS - NEUROENDOCRINE TUMOR VS SARCOMA. 38 year old male with abdominal pain. Large intraabdominal mass with mesenteric implants and liver metastases has the appearance most consistent with a sarcoma. Due to its large size, it is difficult to determine its point of origin.

Author
Peter Anderson
Keywords
abdomen, radiology
Visits
2796

0 comments