PEIR Digital Library

Welcome to the Pathology Education Informational Resource (PEIR) Digital Library, a multidisciplinary public access image database for use in medical education.

Home /

00133113

00133113.jpg 00133112Thumbnails0013310600133112Thumbnails00133106

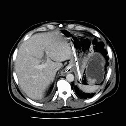
RADIOLOGY: GASTROINTESTINAL: GI: Case# 126: OBSTRUCTING COLON CA. 68-year-old male with bowel obstruction identified on plain films of the abdomen. The patient has worsening abdominal distention. 1. There is a high-grade colonic obstruction at the level of the splenic flexure. There is suggestion of a small soft tissue mass in this area. 2. There is a small right pleural effusion with some atelectasis in the right lower lobe. 3. The primary service was notified of the results immediately following the examination.

Author
Peter Anderson
Visits
2179

0 comments