PEIR Digital Library

Welcome to the Pathology Education Informational Resource (PEIR) Digital Library, a multidisciplinary public access image database for use in medical education.

Home /

00133100

00133100.jpg 00133099Thumbnails0013309100133099Thumbnails00133091

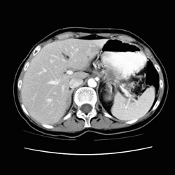
RADIOLOGY: PANCREAS: Case# 123: PANCREATIC CA, VASCULAR ENCASEMENT. 54 year old female with pancreatic mass on outside CT. There is a heterogeneously enhancing, low attenuation, solid mass involving the body and tail of the pancreas. The mass comlpletely encases the splenic artery to its origin at the celiac axis. The celiac axis itself appears encases by the mass and nodal metastases. The origin of the SMA is also encased by nodal metastases. A cystic lesion within the tail of the pancreas most likely represents a pseudocyst secondary to pancreatic duct obstruction by the mass. The mass abuts the posterior gastric wall with possible invasion. By CT, this mass appears unresectable (due to the amount of vascular encasement). This almost uniformly fatal cancer is the 4th most common malignant tumor accounting for 5% of cancer deaths in the United States. Symptoms are usually nonspecific and insidious such that the cancer is advanced by the time of diagnosis. Most cancers occur in the head of the pancreas and are usually adenocarcinomas arising from ductal cells. The sensitivity of CT scan in diagnosing pancreatic carcinoma is approximately 95% whereas that of ultrasound is less than 80% for cancer of the head and 40% for the tail. The primary finding on CT is a focal mass;however, if no mass is present, other findings may suggest neoplasm. First, the pancreas may become more heterogeneous in density with age. Thus, a focal region of homogeneous soft tissue density might raise suspicion of a carcinoma. The presence of both a dilated common bile duct and a dilated main pancreatic duct in the absence of calculus suggests ampullary or pancreatic head neoplasm, but this may also be seen in benign disease. The finding of a dilated main pancreatic duct in the body or tail but not in the head or neck suggests neoplasm, and finally, the finding of rounded convex borders of both anterior and posterior surfaces of the uncinate process raises suspicion for carcinoma. Ten to fifteen percent of patients will have potentially resectable tumors, and they may be distinguished by CT findings. Signs of potential resectability include an isolated pancreatic mass with or without dilatation of the bile and pancreatic ducts and combined bile-pancreatic duct dilatation without an identifiable pancreatic mass. Extension of the tumor beyond the margins of the pancreas, involvement of adjacent organs or the SMA, liver metastases, ascites, and regional adenopathy are signs of unresectability. Unfortunately, most of those who undergo resection eventually die of pancreatic cancer.

Author
Peter Anderson
Keywords
pancreas, radiology
Visits
2502

0 comments