PEIR Digital Library

Welcome to the Pathology Education Informational Resource (PEIR) Digital Library, a multidisciplinary public access image database for use in medical education.

Home /

00133008

00133008.jpg 00133007Thumbnails0013300900133007Thumbnails00133009

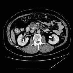
RADIOLOGY: PANCREAS: Case# 102: PANCREATIC ADENOCARCINOMA-DUOD. (S/P DISTAL PANC.). The patient is a 57-year-old white male with duodenal mass. EGD biopsy showed adenocarcinoma. The patient has a history of distal pancreatectomy secondary to pseudocyst formation. There is a 3.4 x 5.0 cm mass within the head of the pancreas. Within this mass there are some cystic areas with calcifications. This mass protrudes into the lumen of the duodenum near the junction of the second and third portions. There are multiple adjacent lymph nodes. There is a 1.2 x 2.2 cm node anterior to the head of the pancreas along the greater curve of the stomach. Also, there is a 1 x 1 cm aortocaval node posterior to the head of the pancreas. There are multiple other smaller lymph nodes anterior and inferior to the pancreas. There has been a distal pancreatectomy (history of pseudocyst in the past). This almost uniformly fatal cancer is the 4th most common malignant tumor accounting for 5% of cancer deaths in the United States. Symptoms are usually nonspecific and insidious such that the cancer is advanced by the time of diagnosis. Most cancers occur in the head of the pancreas and are usually adenocarcinomas arising from ductal cells. The sensitivity of CT scan in diagnosing pancreatic carcinoma is approximately 95% whereas that of ultrasound is less than 80% for cancer of the head and 40% for the tail. The primary finding on CT is a focal mass;however, if no mass is present, other findings may suggest neoplasm. First, the pancreas may become more heterogeneous in density with age. Thus, a focal region of homogeneous soft tissue density might raise suspicion of a carcinoma. The presence of both a dilated common bile duct and a dilated main pancreatic duct in the absence of calculus suggests ampullary or pancreatic head neoplasm, but this may also be seen in benign disease. The finding of a dilated main pancreatic duct in the body or tail but not in the head or neck suggests neoplasm, and finally, the finding of rounded convex borders of both anterior and posterior surfaces of the uncinate process raises suspicion for carcinoma. Ten to fifteen percent of patients will have potentially resectable tumors, and they may be distinguished by CT findings. Signs of potential resectability include an isolated pancreatic mass with or without dilatation of the bile and pancreatic ducts and combined bile-pancreatic duct dilatation without an identifiable pancreatic mass. Extension of the tumor beyond the margins of the pancreas, involvement of adjacent organs or the SMA, liver metastases, ascites, and regional adenopathy are signs of unresectability. Unfortunately, most of those who undergo resection eventually die of pancreatic cancer.

Author
Peter Anderson
Keywords
pancreas, radiology
Visits
2351

0 comments