PEIR Digital Library

Welcome to the Pathology Education Informational Resource (PEIR) Digital Library, a multidisciplinary public access image database for use in medical education.

Home /

00100011

00100011.jpg 00100010Thumbnails00100012

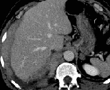
RADIOLOGY: CHEST: Case# 2: MALIGNANT MESOTHELIOMA. 49 year old male with a history of mass in the right hemithorax. A large pleural-based soft tissue mass is seen in the right hemithorax. There is no evidence of liver invasion. Several enlarged right retrocrural lymph nodes are present. While they seem relatively discrete, the vertebral body adjacent to one appears to be eroded or invaded. Mesothelioma is the most common primary tumor of the pleural space. This tumor may be benign or malignant. Malignant mesotheliomas are almost always associated with asbestos exposure. The benign form may be cured by surgical resection, whereas the malignant tumor is aggressive, spreading by local extension, and usually encasing the lung and mediastinum. Prognosis is very poor with a median survival of one year. CT is helpful in establishing the extent of the tumor. Malignant mesothelioma appears as an irregular or nodular pleural thickening surrounding the lung. The tumor is usually visible along the lateral chest wall, however, mediastinal or concentric pleural thickening may be seen in extensive disease. Associated fluid collections, which may be difficult to distinguish from mesothelioma, may be visualized by using contrast and by performing the CT scan with the patient in the prone or decubitus position. Benign mesothelioma is distinct in that it usually appears as localized, solitary lesions arising from the visceral pleural. It more commonly involves the costal pleural surface but may occur within a fissure. On the other hand, pleural thickening associated with asbestos-related pleural disease usually involves the parietal pleura and appears on the inner costal and vertebral surfaces. This disease is usually bilateral.

Author
Peter Anderson
Visits
7394

0 comments