PEIR Digital Library

Welcome to the Pathology Education Informational Resource (PEIR) Digital Library, a multidisciplinary public access image database for use in medical education.

Home /

00019546

00019546.jpg 00019550Thumbnails0001954700019550Thumbnails0001954700019550Thumbnails0001954700019550Thumbnails0001954700019550Thumbnails0001954700019550Thumbnails0001954700019550Thumbnails00019547

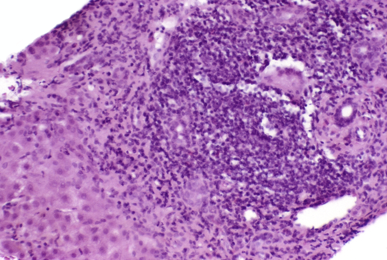
HISTOLOGY: HEPATOBILIARY: LIVER: BILIARY: autoimmune hepatitis

Author
Peter Anderson
Visits
11052

0 comments