PEIR Digital Library

Welcome to the Pathology Education Informational Resource (PEIR) Digital Library, a multidisciplinary public access image database for use in medical education.

Home /

00017251

00017251.jpg 00017250Thumbnails0001725200017250Thumbnails0001725200017250Thumbnails0001725200017250Thumbnails0001725200017250Thumbnails0001725200017250Thumbnails0001725200017250Thumbnails00017252

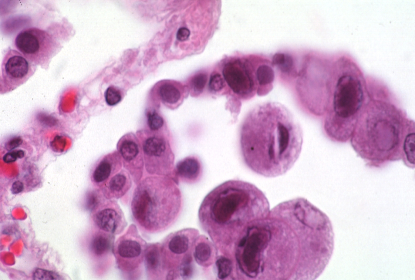
HISTOLOGY: RESPIRATORY: Lung, CMV pneumonia

Author
Peter Anderson
Visits
5663

0 comments