PEIR Digital Library

Welcome to the Pathology Education Informational Resource (PEIR) Digital Library, a multidisciplinary public access image database for use in medical education.

Home /

00015500

00015500.jpg 00015499Thumbnails0001550100015499Thumbnails0001550100015499Thumbnails0001550100015499Thumbnails0001550100015499Thumbnails0001550100015499Thumbnails0001550100015499Thumbnails00015501

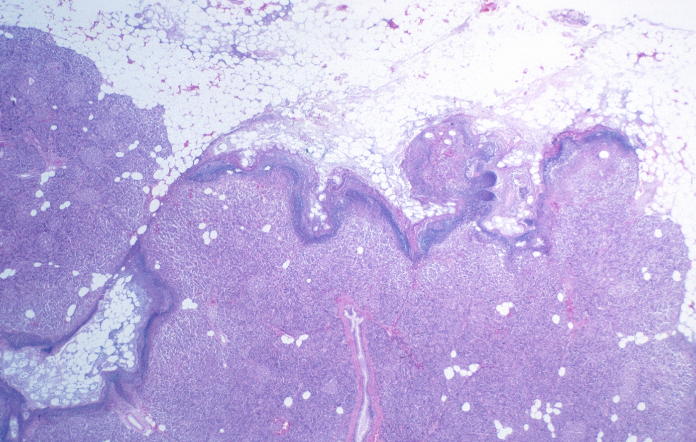
HISTOLOGY: PANCREAS: Pancreatic fat necrosis

Author
Peter Anderson
Keywords
histology, pancreas
Visits
3402

0 comments